복부 초음파로 알 수 있는 것(질병) 검사 비용, 주기
복부 초음파 검사는 내과, 가정의학과, 건강검진센터 등에서 가장 흔히 시행되는 영상 검사 중 하나입니다. 방사선 노출이 없고 검사 과정이 비교적 간단하며, 통증이나 부담이 거의 없다는 점에서 연령과 성별을 불문하고 폭넓게 활용됩니다. 특히 복부 장기 전반의 구조적 이상을 한 번에 확인할 수 있다는 점에서, 원인 불명의 복통이나 소화기 증상이 있을 때 1차적으로 선택되는 검사입니다. 단순히 “초음파로 뭘 볼 수 있을까?”라는 궁금증을 넘어서, 실제로 어떤 질환을 발견할 수 있는지, 검사 비용은 어느 정도인지, 그리고 얼마나 자주 받는 것이 합리적인지에 대한 이해가 중요합니다.


이 글에서는 복부 초음파로 확인 가능한 복부 초음파로 알 수 있는 것 범위와 함께 검사 비용, 검사 주기에 대해 실무적인 관점에서 정리해 드립니다.
복부 초음파로 알 수 있는 것(질병) 범위
복부 초음파는 간, 담낭, 췌장, 비장, 신장, 방광, 복부 대혈관 등 주요 장기를 대상으로 시행됩니다.

검사 부위가 넓은 만큼 발견 가능한 복부 초음파로 알 수 있는 것(질환)의 스펙트럼도 상당히 다양합니다. 다만 초음파는 “구조적 이상”을 중심으로 확인하는 검사이므로, 기능적 이상이나 아주 초기 단계의 미세 병변은 한계가 있다는 점을 전제로 이해하시는 것이 좋습니다.



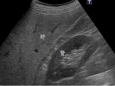
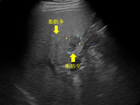
간에서 확인 가능한 질환
간은 복부 초음파의 핵심 관찰 대상입니다. 간 실질의 에코 패턴을 통해 지방간 여부를 비교적 정확하게 판단할 수 있으며, 지방 침착의 정도에 따라 경증, 중등도, 중증으로 나누어 추정이 가능합니다. 또한 간낭종, 간혈관종과 같은 양성 종양은 초음파에서 특징적인 모양으로 관찰되는 경우가 많아 추적 관찰 여부를 결정하는 데 도움이 됩니다. 간경변이 진행된 경우에는 간 표면이 불규칙해지고 비장이 커지는 소견이 함께 나타날 수 있으며, 이는 만성 간질환의 중요한 단서가 됩니다. 다만 간암의 경우 초기 병변은 초음파에서 놓칠 수 있어, 고위험군에서는 CT나 MRI와 병행하는 것이 일반적입니다.

담낭 및 담도 질환
담낭 결석은 복부 초음파로 가장 쉽게 진단되는 질환 중 하나입니다. 작은 결석이라도 초음파에서는 후방 음영을 동반한 고에코 병변으로 비교적 명확하게 보입니다. 담낭 용종 역시 크기와 형태를 파악하여 추적 관찰 또는 추가 검사의 기준을 정할 수 있습니다. 담낭염이 있는 경우 담낭벽 비후, 담낭 주변 액체 저류 등의 소견이 동반될 수 있으며, 이는 급성 복통의 원인을 설명하는 중요한 정보가 됩니다. 담도 확장 여부를 확인함으로써 담도 결석이나 담도 폐쇄 가능성도 간접적으로 추정할 수 있습니다.



췌장에서 확인 가능한 이상
췌장은 위치상 관찰이 쉽지 않은 장기이지만, 복부 초음파를 통해 췌장의 크기 변화나 종괴성 병변, 췌관 확장 여부 등을 확인할 수 있습니다. 급성 췌장염의 경우 췌장이 커지고 에코가 불균질해지는 소견이 나타날 수 있으며, 만성 췌장염에서는 석회화 소견이 관찰되기도 합니다. 다만 췌장암의 조기 발견에는 한계가 있어, 증상이나 혈액검사 이상이 동반될 경우 추가 영상 검사가 필요합니다.



신장과 비뇨기계 질환
신장 초음파를 통해 신장 결석, 신낭종, 수신증 여부를 확인할 수 있습니다. 요관 결석 자체는 직접 보이지 않더라도, 소변 배출이 막히면서 신우가 확장되는 소견을 통해 간접적으로 의심할 수 있습니다. 만성 신질환이 있는 경우 신장의 크기가 줄어들고 실질이 얇아지는 변화가 나타날 수 있어, 질환의 진행 정도를 평가하는 데 참고 자료로 활용됩니다.
비장과 복부 대혈관
비장은 혈액 질환이나 간질환과 연관되어 크기 변화가 나타나는 경우가 많습니다. 비장 비대는 간경변, 혈액 질환, 감염성 질환 등 다양한 원인을 시사할 수 있습니다. 또한 복부 대동맥의 직경을 측정하여 복부 대동맥류 여부를 확인할 수 있으며, 이는 무증상으로 진행되다가 파열 시 치명적일 수 있어 고령층에서 의미 있는 검사 항목입니다.






복부 초음파 검사 비용
복부 초음파 검사 비용은 병원 유형, 검사 범위, 건강보험 적용 여부에 따라 차이가 큽니다. 일반적으로 건강보험이 적용되는 진단 목적의 검사라면 본인 부담금은 비교적 낮은 편입니다. 반면 건강검진 목적으로 시행되는 경우에는 비급여로 분류되어 비용이 상승합니다. 실무적으로 많이 안내되는 평균 비용 범위는 약 10만 원에서 16만 원 수준입니다.



대학병원이나 상급종합병원의 경우 검사 장비와 인력 구조에 따라 이보다 높아질 수 있으며, 개인 병원이나 검진센터에서는 패키지 구성에 따라 다소 낮아질 수 있습니다. 따라서 검사 전에는 단순히 가격만 비교하기보다는, 검사 범위와 판독 전문성까지 함께 고려하는 것이 합리적입니다.
복부 초음파 검사 주기
복부 초음파의 검사 주기는 개인의 건강 상태와 목적에 따라 달라집니다. 특별한 증상이 없고 건강검진 차원에서 시행하는 경우에는 1년에 한 번 정도가 일반적인 기준으로 활용됩니다.



지방간이나 담낭 용종처럼 추적 관찰이 필요한 소견이 있는 경우에는 6개월에서 1년 간격으로 재검사를 권장받는 경우가 많습니다. 만성 간질환, 간염 보유자, 간암 고위험군에 해당하는 경우에는 더 짧은 주기로 정기적인 영상 검사가 필요할 수 있으며, 이때는 초음파 단독이 아니라 다른 검사와 병행하여 계획을 세우는 것이 일반적입니다. 중요한 점은 “정해진 정답 주기”가 있는 것이 아니라, 개별 건강 상태에 맞춰 의료진과 상의하여 결정해야 한다는 점입니다.
복부 초음파의 장점과 한계



복부 초음파의 가장 큰 장점은 안전성과 접근성입니다. 방사선 노출이 없고, 검사 시간이 짧으며, 반복 검사에 대한 부담이 적습니다. 또한 비교적 저렴한 비용으로 복부 장기의 전반적인 상태를 파악할 수 있어 1차 선별 검사로 매우 유용합니다. 반면 검사자의 숙련도에 따라 결과의 질이 달라질 수 있고, 비만이나 장내 가스가 많은 경우에는 관찰이 제한될 수 있다는 한계가 있습니다.



따라서 초음파 결과를 절대적인 진단으로 받아들이기보다는, 임상 증상과 다른 검사 결과를 종합하여 해석하는 것이 중요합니다.
결론



복부 초음파 검사는 간, 담낭, 췌장, 신장 등 주요 복부 장기의 구조적 이상을 확인하는 데 있어 매우 실용적인 검사입니다. 비교적 저렴한 비용과 안전성을 바탕으로 다양한 질환의 단서를 제공하며, 건강검진과 질환 추적 관리에서 중요한 역할을 합니다. 다만 모든 질환을 완벽하게 찾아내는 만능 검사는 아니므로, 검사 결과에 대한 해석과 이후 관리 계획은 반드시 의료진과의 상담을 통해 결정해야 합니다. 복부 불편감이 지속되거나 기존에 관리 중인 질환이 있다면, 자신의 건강 상태에 맞는 검사 주기와 방법을 설정하는 것이 가장 현실적인 접근이라 할 수 있습니다.
'건강한 삶' 카테고리의 다른 글
| 뇌 MRI 검사 비용, 금식 (0) | 2026.03.04 |
|---|---|
| 경동맥 초음파 검사로 알수있는병 (0) | 2026.02.24 |
| 무릎에 물이 차는 증상 살펴보기 (0) | 2026.02.04 |
| 고지혈증 약의 부작용 (0) | 2026.01.20 |
| 고지혈증 약 복용시간 (0) | 2026.01.18 |