발가락 골절 완치기간, 스플린트: 손가락 뼈에 금이 가면 깁스 치료 필요한가
발가락이나 손가락처럼 말단 부위의 골절은 일상에서 비교적 흔하게 발생합니다. 문에 부딪히거나 무거운 물건을 떨어뜨리는 단순 외상부터, 스포츠 활동 중의 충돌, 넘어짐 등 원인은 다양합니다.

문제는 통증의 정도와 외형 변화가 크지 않은 경우가 많아 “단순 타박상인가”, “금만 간 상태면 그냥 두어도 되지 않을까”라는 판단으로 치료 시기를 놓치는 경우가 적지 않다는 점입니다. 특히 발가락과 손가락은 사용 빈도가 높고 체중 부하나 반복 움직임에 노출되기 쉬워, 초기 치료 방향이 회복 속도와 예후에 큰 영향을 미칩니다.


아래에서는 발가락 골절과 손가락 골절의 완치기간을 중심으로, 스플린트 치료의 의미와 적용 기준, 그리고 손가락 뼈에 금이 갔을 때 깁스 치료가 반드시 필요한지에 대해 체계적으로 정리해 보겠습니다.
발가락 골절 완치기간 (엄지발가락, 새끼발가락)
발가락 골절은 위치에 따라 회복 과정과 치료 강도가 달라집니다. 발가락은 체중을 지탱하고 보행 시 반복적인 압력을 받기 때문에, 같은 골절이라도 손가락보다 회복이 느리게 진행되는 경향이 있습니다. 특히 엄지발가락은 보행 시 추진력을 담당하는 핵심 구조로, 단순 골절과 복합 골절의 구분이 중요합니다.


발가락 골절의 일반적인 완치기간은 다음과 같은 범위로 정리할 수 있습니다. 단, 이는 평균적인 경과이며 개인의 연령, 기저질환, 생활 패턴에 따라 차이가 발생할 수 있습니다.
- 새끼발가락 및 2-5번째 발가락 단순 골절: 약 4-6주
- 엄지발가락 단순 골절: 약 6-8주
- 전위(뼈가 어긋난 상태)를 동반한 골절 또는 관절 침범 골절: 8주 이상
- 반복 외상 또는 보행 부담이 지속된 경우: 10주 이상 소요 가능



완치기간을 판단할 때 단순히 통증 소실만으로 회복을 평가해서는 안 됩니다. 발가락 골절은 통증이 줄어든 이후에도 미세한 골유합이 진행 중인 경우가 많으며, 이 시기에 무리한 보행이나 운동을 재개하면 불완전 유합이나 변형 유합으로 이어질 수 있습니다. 따라서 일상 보행이 가능해졌다고 하더라도 일정 기간 보호 신발 착용이나 활동 제한이 권장됩니다.


손가락 골절 완치기간
손가락 골절은 발가락과 비교했을 때 체중 부하가 없다는 점에서 회복이 상대적으로 빠른 편입니다.


그러나 손가락은 정교한 관절 움직임과 미세한 기능 수행이 중요하기 때문에, 단순한 회복 기간보다 기능 회복 여부가 더 중요하게 평가됩니다.
손가락 골절의 평균적인 완치기간은 다음과 같이 정리할 수 있습니다.


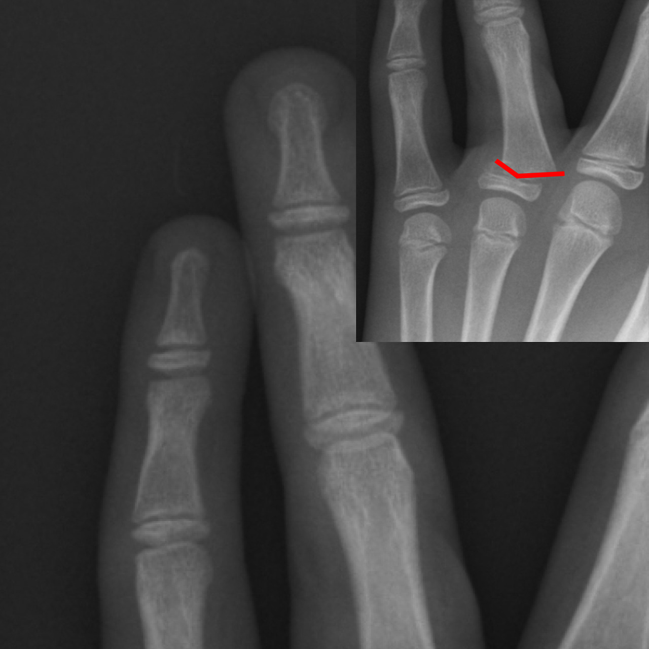
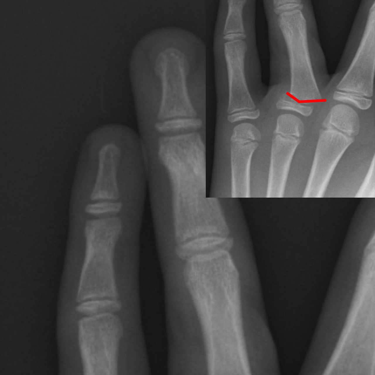
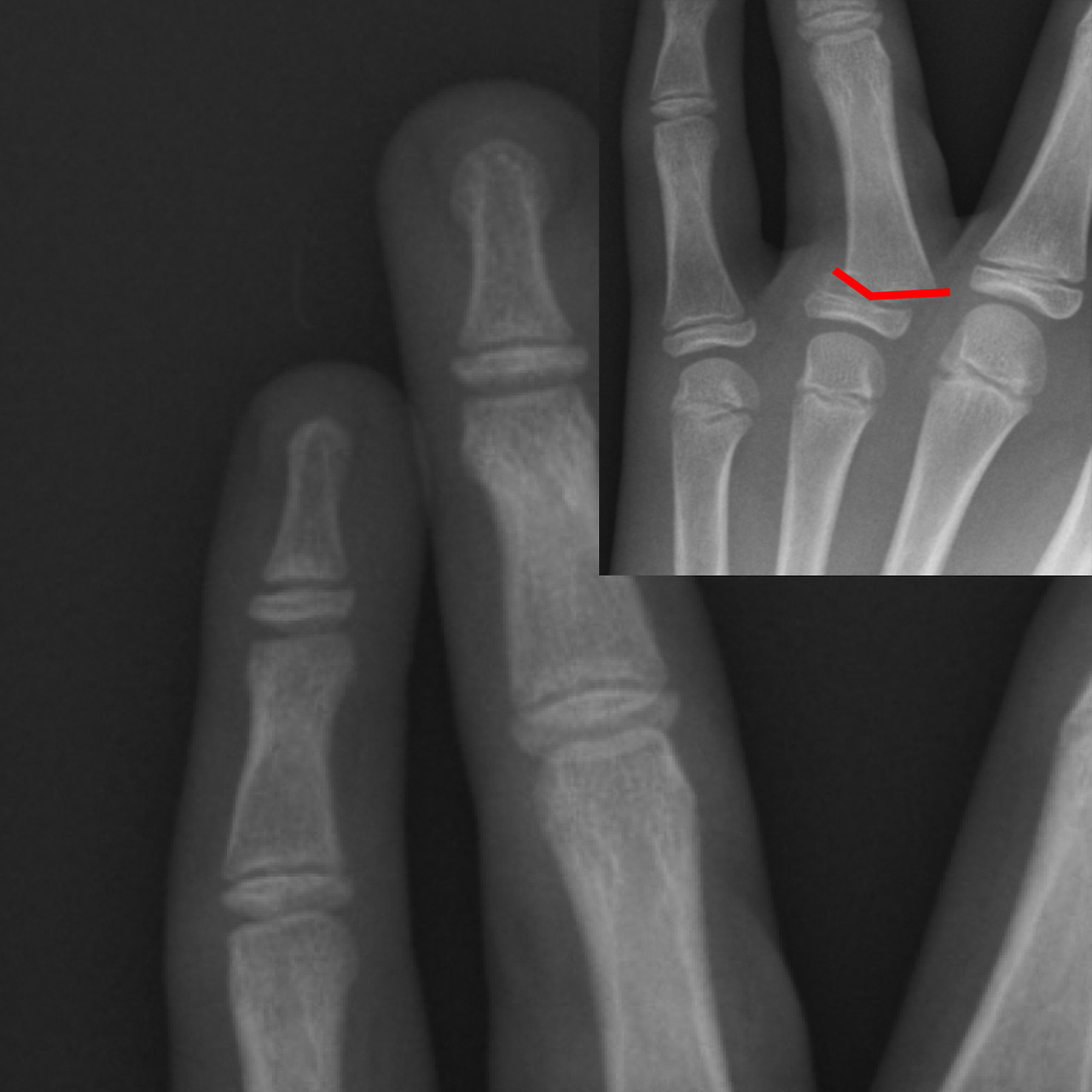
- 손가락 뼈에 금이 간 경우(비전위성 미세 골절): 약 3-4주
- 단순 골절(전위 없음): 약 4-6주
- 관절 침범 골절 또는 분쇄 골절: 6-8주 이상
- 힘줄 손상 동반 골절: 8주 이상 및 재활 필요
손가락 골절은 통증이 비교적 빠르게 줄어들어 조기 사용을 시도하는 경우가 많습니다. 그러나 이 시점에서 무리한 사용은 관절 강직, 굴곡 제한, 만성 통증으로 이어질 수 있습니다. 따라서 완치기간 동안은 단순한 사용 제한이 아니라, 단계적인 가동 범위 회복과 보호가 병행되어야 합니다.
발가락 골절 스플린트 치료
발가락 골절에서 스플린트는 깁스보다 가볍고 일상생활에 부담이 적은 고정 방법으로 활용됩니다. 특히 전위가 없고 관절을 침범하지 않은 단순 골절의 경우, 스플린트 또는 테이핑만으로도 충분한 치료 효과를 기대할 수 있습니다.



발가락 골절 시 스플린트 치료의 주요 목적은 다음과 같습니다.
- 골절 부위의 불필요한 움직임 제한
- 통증 감소 및 부종 완화
- 올바른 골유합 유도
- 보행 시 추가 손상 방지


일반적으로 많이 사용되는 방법은 인접 발가락과 함께 묶는 버디 테이핑 방식이며, 필요 시 발바닥 지지용 스플린트나 보호 신발을 병행합니다. 엄지발가락의 경우 기능적 중요도가 높아, 단순 테이핑보다는 반경성 스플린트나 단단한 신발 착용이 권장되는 경우가 많습니다. 스플린트 치료 중에도 통증이 지속적으로 증가하거나 발가락 변형이 관찰될 경우, 즉시 재평가가 필요합니다.

손가락 골절 스플린트 치료
손가락 골절에서 스플린트는 가장 기본적이면서도 중요한 치료 수단입니다. 손가락은 작은 뼈들이 관절과 밀접하게 연결되어 있어, 정확한 위치 고정이 이루어지지 않으면 기능 저하로 이어질 가능성이 높습니다.
손가락 골절 스플린트의 적용 목적은 다음과 같습니다.
- 골절 부위 안정화
- 관절 각도 유지
- 통증 및 부종 조절
- 조기 회복을 위한 환경 조성
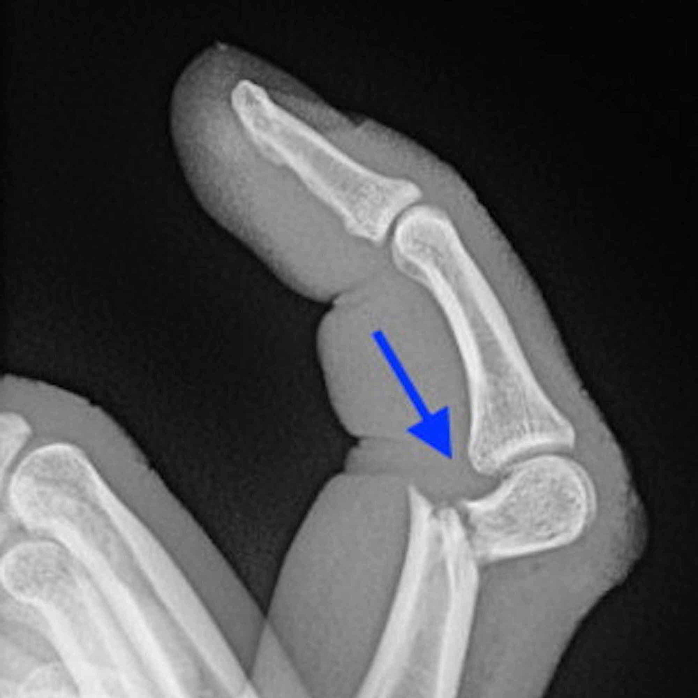
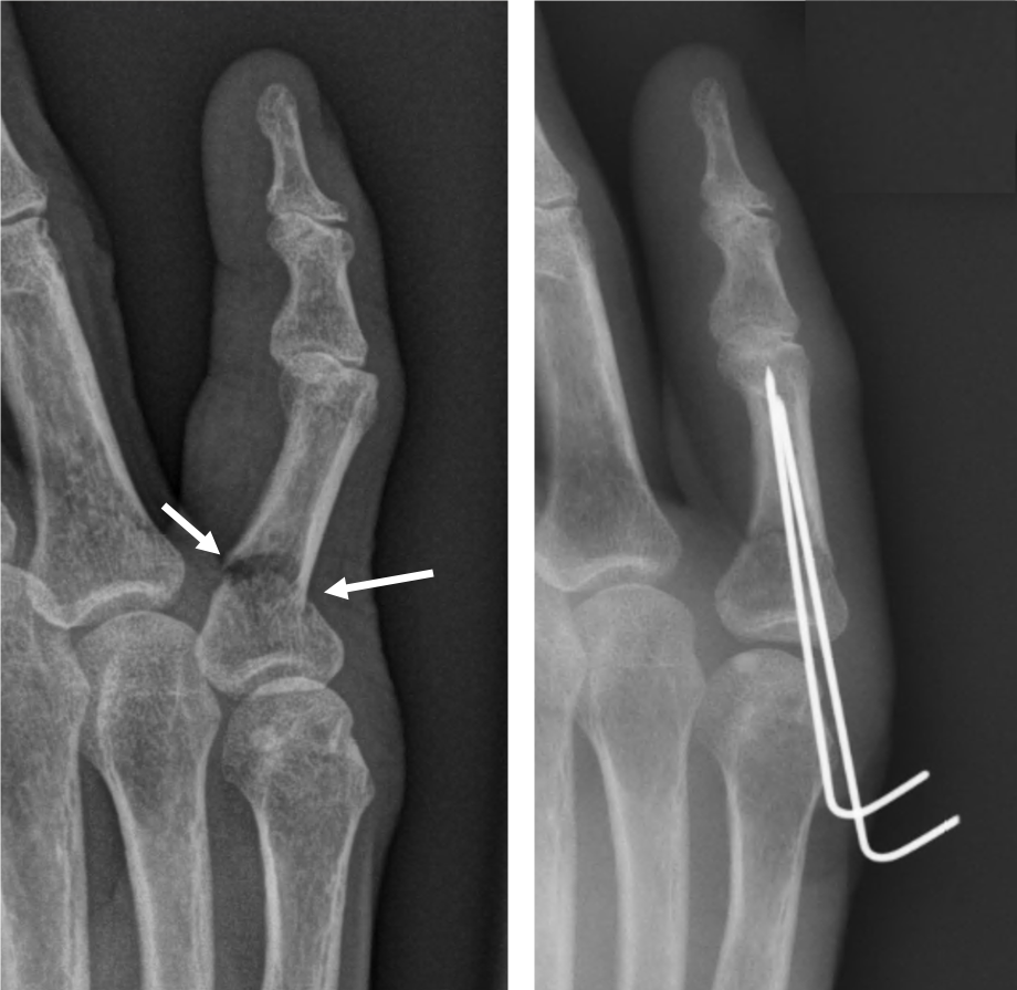
손가락 스플린트는 골절 위치에 따라 착용 각도와 형태가 달라집니다. 예를 들어 말단지 골절의 경우 손끝만 고정하는 단순 스플린트가 사용되며, 중간 마디나 관절 침범 골절의 경우 손가락 전체를 포함하는 고정이 필요할 수 있습니다. 스플린트 착용 기간은 대개 3-6주이며, 이후에는 점진적인 관절 운동이 병행됩니다.

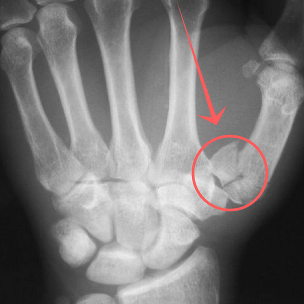
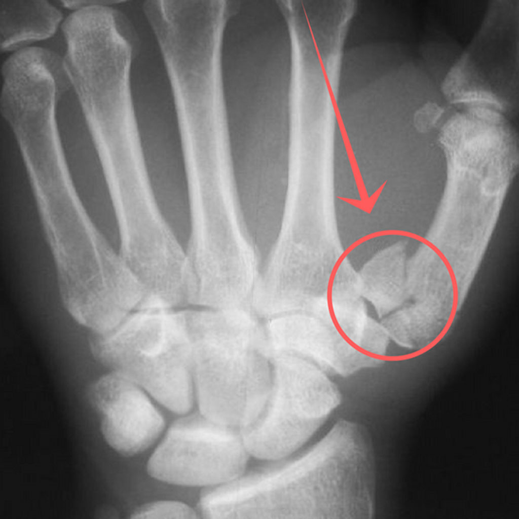
손가락 뼈에 금이 가면 깁스 치료는 필요한가
많은 분들이 가장 궁금해하는 부분이 바로 “손가락 뼈에 금이 갔을 때도 깁스를 해야 하는가”입니다. 결론부터 정리하면, 모든 경우에 깁스가 필요한 것은 아닙니다. 손가락에 발생하는 미세 골절이나 비전위성 골절은 스플린트만으로도 충분한 안정성을 확보할 수 있는 경우가 많습니다.
깁스 치료가 필요하지 않은 대표적인 경우는 다음과 같습니다.
- 뼈의 정렬이 유지된 상태의 미세 골절
- 관절을 침범하지 않은 단순 골절
- 손가락 변형이나 회전 이상이 없는 경우
- 통증 조절이 가능한 경우


반대로 깁스 또는 보다 강한 고정이 필요한 경우는 다음과 같습니다.
- 골절로 인해 뼈가 어긋난 경우
- 관절면이 손상된 경우
- 여러 조각으로 부러진 분쇄 골절
- 스플린트 착용 후에도 통증과 불안정성이 지속되는 경우
즉, 손가락 뼈에 금이 갔다는 진단만으로 깁스를 결정하기보다는, 골절의 형태와 안정성, 기능 손상 여부를 종합적으로 고려해야 합니다. 과도한 고정은 오히려 관절 강직을 유발할 수 있으므로, 최소한의 고정으로 최대의 회복을 목표로 하는 것이 치료의 핵심입니다.
결론


발가락과 손가락 골절은 비교적 가볍게 여겨지기 쉬운 손상이지만, 치료 방향에 따라 회복 기간과 이후 기능에 큰 차이를 만들어낼 수 있습니다. 발가락 골절은 체중 부하로 인해 회복 기간이 길어질 수 있으며, 특히 엄지발가락 골절은 보행 기능과 직결되어 보다 신중한 관리가 필요합니다. 손가락 골절의 경우 스플린트 치료만으로도 충분한 경우가 많으며, 모든 상황에서 깁스가 필요한 것은 아닙니다.

중요한 것은 통증의 정도가 아니라 골절의 안정성과 기능 회복 가능성을 기준으로 치료를 선택하는 것입니다. 초기 진단과 적절한 고정, 그리고 회복 단계에 맞춘 관리가 이루어진다면 불필요한 후유증 없이 일상으로 복귀할 수 있습니다.


'건강한 삶' 카테고리의 다른 글
| 고지혈증 약의 부작용 (0) | 2026.01.20 |
|---|---|
| 고지혈증 약 복용시간 (0) | 2026.01.18 |
| 손목 골절 완치기간 | 깁스기간 (0) | 2025.12.30 |
| 용각산 의 효능 (0) | 2025.12.18 |
| 위내시경 조직검사 하는 이유 (0) | 2025.12.11 |