발목 골절 치료기간
발목은 걷기·뛰기·점프와 같이 일상에서 가장 빈번하게 쓰이는 관절입니다. 발목 관절을 구성하는 경골·비골·거골은 작은 면적에 체중 전체를 지탱해야 하므로 충격에 취약합니다. 넘어짐, 미끄러짐, 고강도 스포츠, 교통사고처럼 예상치 못한 순간에 발목뼈가 부러질 수 있으며, 골절 후 적절한 치료·재활 과정을 거치지 않으면 만성 통증·관절염으로 진행될 위험이 있습니다. 많은 분들이 “발목 골절이면 몇 주나 고정해야 하나요?”, “석고 풀고 나서 언제 정상 보행이 가능할까요?”처럼 발목 골절 치료기간을 가장 궁금해합니다.


본 글에서는 발목 골절의 종류·치료 방법·재활 단계·예후 변수를 체계적으로 살펴보고, 환자분들이 실질적으로 참고할 수 있는 표준 발목 골절 치료기간과 관리 팁을 정리하겠습니다. 의료진마다 표현이 조금씩 다를 수 있으나, 임상 가이드라인(대한정형외과학회·AAOS)을 기준으로 설명드립니다.
손가락, 발가락 골절 완치 기간, 나타나는 증상, 실손보험 청구
변수에 따른 발목 골절 치료기간 차이
1. 골절 형태·손상 범위
- 단순 비전위 골절: 6주 고정 → 2주 부분 체중 → 10주께 독립 보행이 일반적.
- 전위·분쇄 골절: 금속 내고정 후 8~12주 부분 체중 제한, 4~6개월 근력 회복 필요.
- 복합 골절: 감염·연부조직 손상이 변수여서 완치까지 9개월 이상 걸리기도 함.
2. 연령·체중·기저질환
- 10대~20대: 골 대사 활발, 평균치료기간 10~20 % 단축.
- 60대 이상: 골다공증·당뇨·말초혈관질환 동반 시 회복 지연(2~4주 추가).
- 흡연: 니코틴은 혈액 순환을 저해해 골유합 속도를 최대 25 % 늦춤.
3. 재활 순응도
- 물리치료 출석률이 70 % 미만이면 근력·균형 회복이 지연돼 스포츠 복귀가 1~2개월 밀릴 수 있습니다.
- 통증을 이유로 운동을 지나치게 기피하면 관절 경직이 생겨 일상 보행에도 불편이 남습니다.
발목 골절의 분류와 치료 방식


발목 골절의 대표 유형
- 단순 비전위 골절: 뼈가 한쪽에서 실금이 가거나 2~3 mm 이내 미세 변위만 있는 상태.
- 전위 골절: 골절편이 벌어지거나 겹쳐져 정렬이 무너진 상태.
- 분쇄 골절: 뼈가 3조각 이상으로 산산이 부서진 형태.
- 복합(개방) 골절: 피부가 찢어지고 뼈가 노출된 상태로 감염 위험이 높음.
- 피로 골절(스트레스 프랙처): 반복된 미세 충격으로 실금이 생기는 과사용 손상.



치료 방식
- 보존적 치료
- 단순·비전위 골절, 피로 골절에 주로 적용.
- 석고(캐스트) 혹은 벨크로 보조기(워킹 부트)로 6~8주 고정 후 단계적 체중 부하.
- 수술적 치료
- 전위·분쇄·복합 골절, 발목 관절 불안정성이 동반된 경우.
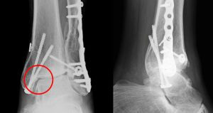
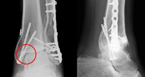
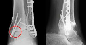
- 금속 판(플레이트)·나사(스크루)·강선(K-wire)로 정복·고정 후 2주 내 실밥 제거, 4~6주 고정 유지.
- 감염·피부염 우려가 적으면 2~3 주 이후 부분 체중 부하 시작 가능.
Tip: X-ray·CT로 정렬이 완벽히 맞아야 관절염 발생을 억제할 수 있습니다. “통증만 줄면 됐다”는 생각보다 정렬 정확도가 예후를 좌우하므로, 전문의 촬영 사진을 보고 설명을 꼭 들으세요.


단계별 회복 과정과 예상 발목 골절 완치기간
| 회복 단계 | 시기(평균) | 주요 목표 | 핵심 관리 포인트 |
| 급성기 | 0 ~ 2주 | 통증·부종·출혈 억제 | E. R. I. C 요법(높이 올리기 Elevation, 휴식 Rest, 얼음 Ice, 압박 Compression) + 임시 부목 |
| 고정기 | 2 ~ 6주 | 골유합 유도 | 석고·보조기 착용, 종일 비체중 또는 목발 보행, 발끝·무릎 관절 가동 운동안 |
| 고정 해제 초기 재활 | 6 ~ 12주 | 관절 가동범위 확보, 부분 체중 부하 |
워킹부트↓, 아킬레스·비복근 스트레칭, 고무밴드 근력운동(저강도) |
| 근력·균형 회복 | 3 ~ 6개월 | 정상 보행·계단·가벼운 러닝 | 프로프리오셉션 훈련(밸런스 보드), 등속성 근력운동, 일상 복귀 |
| 스포츠 복귀 | 6 개월 ~ 1년 | 점프·피벗·접촉 스포츠 복귀 | 신속 방향 전환·착지 훈련, 체력 완전 회복 확인(대측 발목 90 % 이상) |
표 전체를 암기할 필요는 없습니다. 다만 각 단계마다 목표가 다르므로, “몇 주가 지났으니 석고만 풀겠다”보다는 “골유합 확인 + 관절 가동범위 + 근력 조건”을 충족했는지를 체크해야 합니다.



골절 재활 프로그램 체크리스트
- 관절 가동훈련(ROM)
- 발목 펌핑·알파벳 그리기 운동을 하루 10분×3회 수행.
- 비체중·저강도 근력훈련
- 세라밴드(eversion·inversion·dorsiflexion) 15회 ×2세트.
- 균형·고유수용성 훈련
- 밸런스 패드 위 싱글 레그 스탠스 30초 ×3세트.
- 유산소·점진적 체중 부하
- 실내 자전거 → 트레드밀 시속 4 km → 6 km 단계적 전환.
- 고강도 복귀 전 테스트
- 20 cm 상자 점프 10회 통증 0~1/10 유지, 대측 발목 등속성 근력 90 % 이상.



자주 묻는 질문(FAQ)
Q1. 석고는 꼭 6주 해야 하나요?
A. X-ray 상 골간이 3 mm 이하로 붙었다는 확인이 우선입니다. 부종이 빨리 빠졌더라도 뼈가 붙지 않으면 조기 체중 부하는 위험합니다.
Q2. 언제부터 걸을 수 있나요?
A. 단순 골절은 평균 6주 후 부분 체중, 8~10주 후 목발 없이 걷기가 가능하지만, 수술 골절은 내고정물 안정이 확인돼야 하므로 10~12주까지 목발·워킹부트가 필요할 수 있습니다.
Q3. 금속 나사는 언제 빼나요?
A. 관절면을 침범한 나사는 12~18개월 후 제거를 권고하지만, 불편·염증이 없으면 평생 유지하기도 합니다. 결정은 CT·통증 정도·생활양식에 따라 달라집니다.
Q4. 발목이 계속 붓는데 정상인가요?
A. 3~6개월까지 ‘야간 부종’이 남는 경우가 흔합니다. 염증 수치가 정상이고 X-ray에 이상이 없으면 ‘내부 미세 순환 개선’이 목표입니다. 10분 간헐 냉찜질, 30 cm 다리 올리기, 종아리 스트레칭이 도움이 됩니다.
Q5. 4개월째인데 뛰면 아픈데 재골절인가요?
A. 대개 근육·인대 유연성 부족 혹은 고유수용성 미발달 때문입니다. 통증 위치·강도를 체크하고, 등속성 근력 측정에서 대측 대비 90 % 미만이면 근력강화 단계로 돌아가야 합니다.


결론
발목 골절의 평균 골유합 기간은 6~8주, 완전 기능 회복은 3~6개월, 고강도 스포츠 복귀는 6개월~1년이 표준치입니다. 그러나 골절 형태·나이·기저질환·재활 순응도에 따라 ±4~8주 차이가 발생합니다. 따라서 “몇 주면 낫는다”는 절대적 수치보다 **정량적 지표(X-ray 유합, 관절 가동범위, 근력·균형 90 % 달성)**를 기준으로 치료·재활 계획을 세우시는 것이 중요합니다. 발목은 한 번의 골절로 평생 후유증이 남을 수도, 철저한 관리로 정상보다 더 강해질 수도 있습니다. 전문의 진료와 물리치료사 지도를 꾸준히 병행하셔서, 안전하고 빠른 복귀를 이루시길 바랍니다.


'건강한 삶' 카테고리의 다른 글
| mbti 성격 유형검사 (0) | 2025.07.22 |
|---|---|
| 개비스콘 효과, 복용법, 게비스콘 부작용 (0) | 2025.07.21 |
| MBTI 16가지 성격 유형 (0) | 2025.07.20 |
| 보이차 효능과 부작용 정리 (0) | 2025.07.06 |
| 혀 백태가 생기는 이유 (0) | 2025.06.15 |